常规病理

项目简介

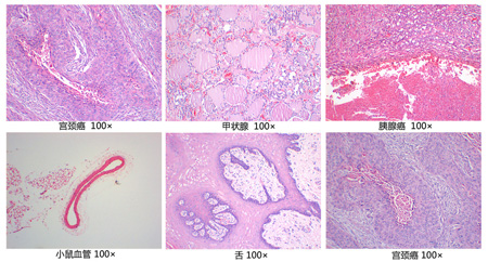
将组织标本通过取材、固定、脱水、透明等过程后,用石蜡作为包埋剂,制作成组织石蜡块;然后把组织蜡块切成3-5μm的薄片。再进行苏木精-伊红染色(Hematoxylin-Eosin Staining),简称HE染色法,是石蜡切片技术里常用的染色法之一。苏木精染液为碱性,主要使细胞核内的染色质与胞质内的核糖体着紫蓝色;伊红为酸性染料,主要使细胞质和细胞外基质中的成分着红色。HE染色法是组织学、胚胎学、病理学教学与科研中最基本、使用最广泛的技术方法。

服务内容
服务编号 服务内容 服务价格 服务周期
XA1001-1 组织取材 10元/块 2天
XA1001-2 脱水包埋 10元/块 2天
XA1001-3 组织单切片 5元/张 2天
XA1001-4 组织双切片 8元/张 2天
XA1001-5 HE染色 7元/张 2天
XA1001-6 切片扫描 50元/张 2天
XA1001-7 定性阅片 询价 3天
交付标准
  • 1、包埋后剩余蜡块、切片等物料 
  • 2、取材后剩余组织样本 (如需要保留、需特殊说明)
  • 3、HE染色完整实验报告一份 
结果展示